I denti del giudizio, noti anche ottavi o terzi molari, sono gli ultimi delle 4 semi arcate dentarie, la loro comparsa è segno del completamento della dentizione permanente o secondaria.
I denti del giudizio quando spuntano?
Solitamente i denti del giudizio sputano tra i 18 e i 25 anni, età in cui ipoteticamente si dovrebbe “mettere giudizio”, da qui il loro nome. In molti casi possono anche restare nascosti, svilupparsi parzialmente o non crescere affatto. Gli studiosi e gli addetti ai lavori sono concordi sul ritenere questi elementi dentari praticamente inutili sotto il profilo funzionale ed estetico. Si tratta di un retaggio dell’evoluzione, un’eredità risalente a quando l’uomo aveva una dieta fatta di carni crude e cibi decisamente più duri da masticare, ed aveva quindi bisogno di denti più robusti. Nel corso del tempo questa esigenza è venuta meno con il conseguente rimpicciolirsi di mascelle e mandibole.
È stato osservato che nelle nuove generazioni i denti del giudizio tendono a non svilupparsi per nulla, principalmente se ci si allontana geograficamente dalla zona dell’Equatore. Le popolazioni del nord hanno prevalentemente una conformazione della mascella e della mandibola di dimensioni più contenute, e tendono così a non manifestare l’eruzione dei denti del giudizio. Viceversa i popoli del sud, con una struttura scheletrica più imponente, ossa del cranio e temporo-mandibolari più grandi, conservano ancora lo spazio per la crescita spontanea degli ottavi.
I denti del giudizio vanno tolti sempre?
La maggior parte degli specialisti in odontoiatria è orientato verso l’estrazione dei denti del giudizio, anche perché sono davvero rari i casi in cui le condizioni fisiologiche di un soggetto ne favoriscono il normale e completo sviluppo. Tali circostanze presuppongono una mandibola e una mascella di dimensioni ottimali da garantire adeguato spazio per l’eruzione dei terzi molari. In aggiunta a ciò si deve verificare l’assenza di qualunque tipo di complicazione durante il percorso di crescita di questi elementi dentari.
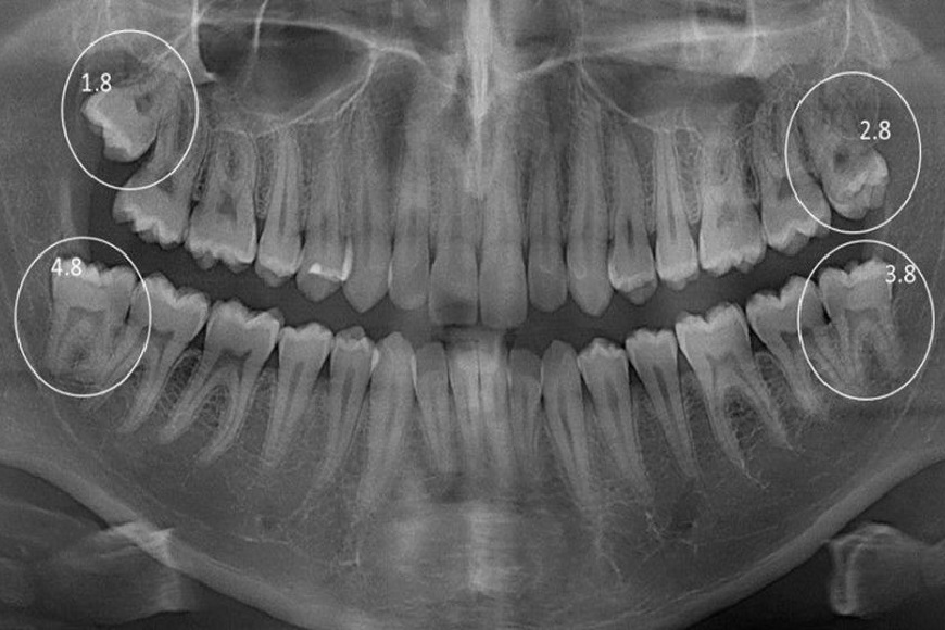
Una buona strategia, ampiamente condivisa oltre che piuttosto lungimirante può essere effettuare una ortopantomografia (radiografia panoramica delle arcate dentarie) intorno ai 14 anni. In questo modo si può monitorare la situazione e lo stadio di crescita dei denti del giudizio, valutando se vadano estratti verso i 16 anni o se si può aspettare ancora. Una volta analizzato accuratamente il caso si può eventualmente procedere all’estrazione degli ottavi in uno stadio di crescita in cui le radici non si sono ancora formate (germectomia).

Sviluppo scorretto dei denti del giudizio
Discorso diverso è quello in cui i denti del giudizio si sviluppano in modo scorretto, creando problemi alla bocca e agli altri elementi della semi arcata di appartenenza. I casi in cui si consiglia un’estrazione sono i seguenti:
• Denti del giudizio storti. Esercitano pressione meccanica sui denti vicini che a differenza degli ottavi sono estremamente importanti. La tensione che si crea può arrivare a muovere e spostare gli altri denti tanto da provocare affollamento dentale, e quindi richiedere un intervento ortodontico correttivo.
• Denti del giudizio colpiti da ascessi, cisti, pulpiti granulomi o carie. Inutile tentare di salvare un elemento dentario di cui si può sostanzialmente fare a meno. Sottoporsi a otturazioni, devitalizzazioni o altro tipo di intervento risulta quindi assolutamente superfluo.
• Denti del giudizio inclusi. Può capitare che restino incastrati nell’osso mandibolare o mascellare, ciò può determinare una predisposizione allo sviluppo di cisti.
• Denti del giudizio in sovrannumero. Contrariamente all’ipodonzia, cioè un numero di denti inferiore al normale, si può verificare l’iperdonzia, nel caso specifico la presenza di terzi molari superiori a 4.
• Dente del giudizio rotto o scheggiato. Un elemento dentario danneggiato è più vulnerabile all’aggressione e penetrazione di batteri.
• Denti del giudizio parzialmente erotti. Questa eventualità fa si restino sommersi a metà nella gengiva, creando un varco in cui possono infiltrarsi residui di cibo e batteri. Il rischio è di sviluppare infiammazioni e carie.
• Malocclusioni causate dai denti del giudizio. Sviluppati possono ostacolare anziché aiutare la masticazione, affaticando l’articolazione temporo-mandibolare. Non sviluppati creano squilibrio tra le arcate, tensioni, dolori e nevralgie dovute allo sforzo compensativo dei muscoli e delle ossa facciali.

Estrarre un dente del giudizio fa male?
Lo scetticismo e la contrarietà all’estrazione dei denti del giudizio è dovuta principalmente alla paura del dolore. Durante l’intervento chirurgico bisogna precisare che il paziente, sottoposto ad anestesia, non sente alcun male, al massimo può avvertire la sensazione di pressione o trazione. Per quanto riguarda il decorso post operatorio la questione è puramente soggettiva. Oltre che dalla soglia individuale del dolore e dalla velocità con cui la ferita guarisce, tutto dipende dal grado di difficoltà dell’estrazione in se. Maggiore è stata la complessità nello sradicare il dente, maggiore è la possibilità che la convalescenza sia lunga e più o meno dolorosa. Ecco alcuni suggerimenti per ridurre al minimo il disagio nella fase postoperatoria:
• Pulire l’area interessata con uno spazzolino morbido
• Assumere un analgesico dopo l’estrazione e la sera prima di andare a letto. Successivamente usare antidolorifici solo se necessario.
• Evitare cibi friabili che possono insinuarsi nella ferita causando infezioni
• Evitare cibi bollenti per almeno 48 dopo l’estrazione
• Evitare attività fisica intensa o sforzi
• Applicare ghiaccio ad intervalli regolari durante tutta la giornata successiva all’intervento

Terzi molari e igiene orale
I denti del giudizio si trovano purtroppo in una posizione scomoda da raggiungere con i normali strumenti e prodotti casalinghi per l’igiene orale (spazzolino, dentifricio, filo interdentale, collutorio). Mantenerli puliti, liberi da placca e tartaro può risultare un’impresa molto ardua, tanto che solo la detartrasi professionale del dentista può essere la soluzione. Va ricordato però che si parla pur sempre di elementi dentali pressoché inutili, anche per questo nella quasi totalità dei casi si scegliere di estrarli. La loro eliminazione rende più semplice la prevenzione dentale domiciliare, e limita la possibilità che i batteri aggrediscano gli spazi interstiziali difficilmente individuabili.
Estrazione dei denti del giudizio e possibili complicanze
Sebbene l’estrazione dei terzi molari sia un intervento di routine non bisogna dimenticare che si tratta pur sempre di un intervento chirurgico a tutti gli effetti, con possibili, seppure minimi rischi. Di seguito alcune potenziali complicanze post operatorie:
• Lesioni agli elementi dentari adiacenti
• Necessità di lasciare residui radicolari per non intaccare l’osso o le strutture nervose circostanti
• Infezioni batteriche
• Frattura mandibolare, estremamente rara e verificabile solo negli anziani con gravi forme di osteoporosi
• Danni alle strutture nervose circostanti con disturbi della sensibilità dentale e linguale
Curiosità sui denti del giudizio
Come è stato già accennato in Italia i terzi molari vengono chiamati denti “del giudizio” perché si presume che all’età in cui irrompono l’individuo abbia acquisito la maturità. In altre parti del mondo il termine con cui vengono identificati a volte si avvicina a questo significato, altre risulta più pittoresco. Nei paesi anglosassoni si usano le parole “wisdom teeth”, cioè denti della saggezza, come nell’omologo tedesco “weisheitszähne”. In Giappone il termine utilizzato viene tradotto con “sconosciuti ai genitori” perché si sviluppano all’età in cui l’infanzia è finita. In Corea vengono chiamati “denti dell’amore” perché come la prima infatuazione arrivano in età giovanile e fanno soffrire.
