Le radiografie per la salute della bocca sono diverse,utili e importanti e con le dovute precauzioni, non causano seri problemi.
Tra gli esami diagnostici, le radiografie ai denti risultano importanti per una corretta valutazione che possa fornire elementi utili alla cura delle problematiche della bocca. Sulla sicurezza relativa all’esposizione ai raggi x, si è espressa l’associazione dei dentisti dell’ANDI che ha fatto sapere che le notizie sulla loro estrema pericolosità, sono da ritenere un po’ esagerate e anche le linee guida del Ministero della Salute, confermano la sicurezza degli esami radiografici, eseguiti con le dovute accortezze e con l’utilizzo, dove richiesto dei dispositivi di protezione.
Resta inteso, ovviamente, che una corretta sensibilizzazione dei pazienti è estremamente necessaria, affinché le tomografie computerizzate – note come TAC – vengano eseguite non come esami di routine, ma solo se necessarie e nel caso siano utili nella preparazione ad eventuali interventi di riabilitazione. Gli esami radiografici devono essere sicuramente esclusi in situazioni di salute particolari - come nel caso delle donne in gravidanza - o nei riguardi di pazienti malati di tumore.
É altresì importante che le apparecchiature presenti negli studi vengano accuratamente sottoposti, con cadenza biennale, a regolari controlli effettuati da tecnici specializzati. Gli stessi tecnici, possono inoltre confermare che gli apparecchi radiografici endorali e gli ortopantomografi utilizzati attualmente, hanno una ridotta emissione di radiazioni e i presidi che vengono utilizzati sono conformi alla protezione dei pazienti. Facciamo un po’ di chiarezza, sui vari tipi di esami radiografici.
Radiografie endorali o intraorali ed extraorali
Le radiografie endorali sono ideali per ispezionare i denti e vengono eseguite mediante l’utilizzo di pellicole radiografiche, collocate nel cavo orale. Si tratta, solitamente di esami diagnostici che comportano una esposizione ai raggi molto bassa.
Le bite-wing permettono di individuare la presenza di carie di dimensioni ridotte, non visibili con facilità, nascoste tra i denti così come anche problemi di natura gengivale e relativi all’eventuale perdita di tessuto osseo, a seguito di parodontite e vengono effettuate mediante l'introduzione di una piccola lastrina all'interno delle arcate dentarie.
Le periapicali, invece, si utilizzano per verificare la presenza di ascessi, fratture dentali, carie e cisti e sono molto utili durante i trattamenti canalari per riuscire a determinare la grandezza e la forma del canale radicolare.
Nel caso delle radiografie occlusali, viene invece utilizzata una lastra più grande rispetto alle precedenti, che permette una visione quasi completa di entrambe le arcate dentarie. Da questo esame radiologico è possibile evidenziare chiaramente fratture, cisti e denti non ancora spuntati.
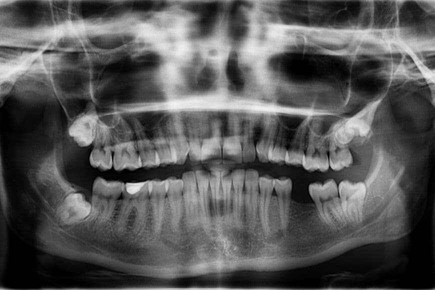
Per avere una visione più completa delle arcate dentarie, delle mascelle, della zona dei seni nasali e del cranio con proiezioni laterali e anteriori, gli esami radiologici impiegati sono quelli extraorali come l’ortopanoramica, chiamata anche semplicemente panoramica e la teleradiografia del cranio.
La panoramica è l’esame più comune e viene eseguito per conoscere il quadro completo della bocca. Permette di studiare le arcate dentarie, la posizione dei denti, le ossa mascellari e la mandibola. É utile per rivelare la presenza di carie, parodontiti, può evidenziare anche eventuali malformazioni dentarie o lesioni ossee, infiammazioni, granulomi, cisti o formazioni di altro genere. Si tratta di un esame molto semplice e rapido da eseguire che non richiede nessun genere di preparazione. Durante l’esecuzione l’operatore guida il paziente, chiedendogli di posizionare il mento su un apposito supporto e i denti anteriori su un altro, mentre le mani si tengono ad apposite maniglie. È importante che nel brevissimo tempo in cui sarà in corso l’esame, il paziente resti immobile per la buona riuscita dell’immagine. L’esito viene consegnato solitamente su un supporto digitale – cd o dvd – e può anche essere stampato.
L’esposizione alle radiazioni, con l’impiego delle tecnologie digitali, è davvero ridotta e – ad eccezione delle donne in gravidanza - questo permette che si possa eseguire un’ortopanoramica anche su soggetti più giovani come bambini e adolescenti.
Se l’ortopanoramica può offrire una visione di insieme della conformazione della bocca, in alcuni casi non fornisce particolari sufficienti e dettagli precisi.
La teleradiografia del cranio permette di avere a differenza della panoramica, una visione di insieme dell’anatomia della testa che permette di capire se le arcate dentarie sono posizionate correttamente e se i denti occupano le giuste posizioni rispetto alle ossa. É un esame molto utile per problematiche come malocclusioni e morsi inversi.
Non è un esame doloroso, non richiede nessun tipo di preparazione e – ad eccezione delle donne in gravidanza – può essere eseguito su tutti i pazienti. Le apparecchiature moderne digitali, garantiscono una ridotta quota di radiazioni per ottenere un risultato ottimale. É sicuramente importante ricordare che il paziente deve indossare un apposito grembiule di piombo, che serve a schermare il resto del corpo dalle radiazioni.
Viene eseguito in posizione eretta, all’interno di un apparecchio chiamato craniostato composto da due prolungamenti che si inseriscono in entrambe le orecchie e che vanno mantenuti per tutta la durata dell’esame. Lo sguardo è protratto in avanti, i denti sono stretti e le labbra morbide. Il paziente è invitato a restare immobile per circa 8, 15 secondi con lo sguardo dritto davanti a se.
Tac e tomografia computerizzata in 3 dimensioni
Per valutare con una cura maggiore alcune anomalie riscontrate dall’esecuzione di precedenti radiografie o in caso di programmazione di un intervento di implantologia, si ricorre solitamente all’impiego di un esame radiografico in 3 dimensioni che può essere una classica Tac o una più moderna tomografia computerizzata. Questo tipo di esami sono particolarmente indicati ed efficaci per mostrare accuratamente i dettagli delle strutture ossee e dentali. Hanno tuttavia uno svantaggio che riguarda la modalità di esecuzione che può creare disagio e risultare notevolmente fastidioso per chi soffre di claustrofobia.
Il Dentalscan, invece, è una attrezzatura che fornisce rispetto all’esame radiografico tradizionale, una definizione precisa, accurata e di alta qualità in 3 dimensioni. Ha il vantaggio di emettere una minore quantità di raggi x rispetto alla Tac – fino almeno a 6 volte meno – e a differenza della tac, viene eseguito all’aperto, permettendo in questo modo a chiunque di sottoporsi a questo esame, senza fastidi e problemi.
Esami diagnostici radiografici e donne in gravidanza
Come più volte indicato, le donne incinta o che sospettano uno stato di gravidanza in corso, dovrebbero sottoporsi alle radiografie durante la gestazione solo se strettamente necessario anche se gli effetti nocivi ed eventuali sul bambino, si possono verificare nel caso di dosaggi elevati di radiazioni che risultino superiori a quelli emessi per una normale indagine diagnostica. In ogni caso dal momento che la condizione della neo mamma è delicata e può causare particolare apprensione, in particolare nelle prime settimane di gestazione, è sempre preferibile – quando possibile – evitare o rimandare l’esame.
Qualora non fosse possibile rimandare l’esame, il medico deve obbligatoriamente informare la paziente di tutti i rischi a cui potrebbe andare incontro e prendere ogni precauzione possibile per ridurre al minimo il rischio di esposizione, sia mediante l’impiego degli appositi grembiuli piombati, sia ricorrendo alla radiologia digitale.
In definitiva, gli esami diagnostici radiografici vanno eseguiti sempre e solo se necessari, proteggendo le aree sensibili con i dispositivi di protezione (collari o grembiuli piombati) e riducendo al minimo le aree da analizzare. Le mini RX-endorali si rivelano molto utili e ottime per l’attività di screening, comportando un dosaggio di raggi in quantità ridotta, inferiore alle radiazioni naturali a cui siamo sottoposti quotidianamente. Per tutti i casi, gli esami radiologici devono seguire un accurato esame clinico preliminare della situazione dentale e della salute generale del cavo orale.
